
VPH detona diversos cánceres
Es una pandemia que trata de contenerse con la vacuna, dicen especialistas
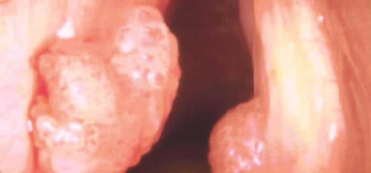
El Virus del Papiloma Humano (VPH) es causante del 99:9 % de todos los cánceres del cuello uterino, es una pandemia que trata de contenerse con la vacuna; también está relacionado con cáncer de pene, vulva, vaginal, orofaríngeo, anal y cervical, así como verrugas genitales.
El oncólogo del Hospital de la Ciudad de México, Roberto Moziños Montes, hizo saber por medio de una tabla que en ésta se puede apreciar que las verrugas genitales representan más de 30 millones de casos por año en ambos sexos, y que éstas están asociadas al VPH.
Pero dijo que lo más importante es ver que el cáncer en cavidad oral, en laringe y en vía respiratoria superior está asociado a estos mismos subtipos del VPH.
"Estas son enfermedades mucosas no genital tipo VPH, como papilomatosis respiratoria, carcinoma de células escamosas del pulmón, papiloma laríngeo, carcinoma laríngeo, papiloma seno maxilar, carcinoma de células escamosas de senos paranasales, papiloma conjuntival, carcinoma conjuntival, hiperplasia focal epitelial oral, carcinoma oral, leucoplaquia oral, carcinoma de células escamosas del esófago, entre otras", expresó.
Agregó que a nivel de cabeza y cuello se está viendo que muchos de los cánceres están relacionados con este tipo de virus, siendo los mismos subtipos que los que se encuentran a nivel genitourinario.
Finalmente reiteró que la vacunación es la base para disminuir la incidencia de este tipo de cánceres, asociados al Virus del Papiloma Humano.




